X
More Details

Prof. Ayman Hegab is a Professor of Oral & Maxillofacial Surgery, Faculty of Dental Medicine. Al-Azhar University. Cairo. Egypt.

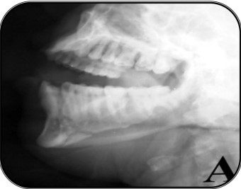
Extra-oral MultiDirectional Distractor: A Multi Uses Distractor1

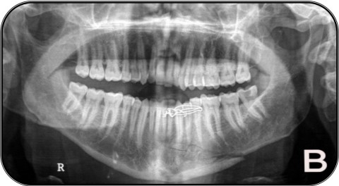
Extra-oral MultiDirectional Distractor: A Multi Uses Distractor2

Extra-oral MultiDirectional Distractor: A Multi Uses Distractor3

Extra-oral MultiDirectional Distractor: A Multi Uses Distractor4

Extra-oral MultiDirectional Distractor: A Multi Uses Distractor5

Extra-oral MultiDirectional Distractor: A Multi Uses Distractor6

Extra-oral MultiDirectional Distractor: A Multi Uses Distractor7

Extra-oral MultiDirectional Distractor: A Multi Uses Distractor8

Extra-oral MultiDirectional Distractor: A Multi Uses Distractor9

Extra-oral MultiDirectional Distractor: A Multi Uses Distractor10